Restorative
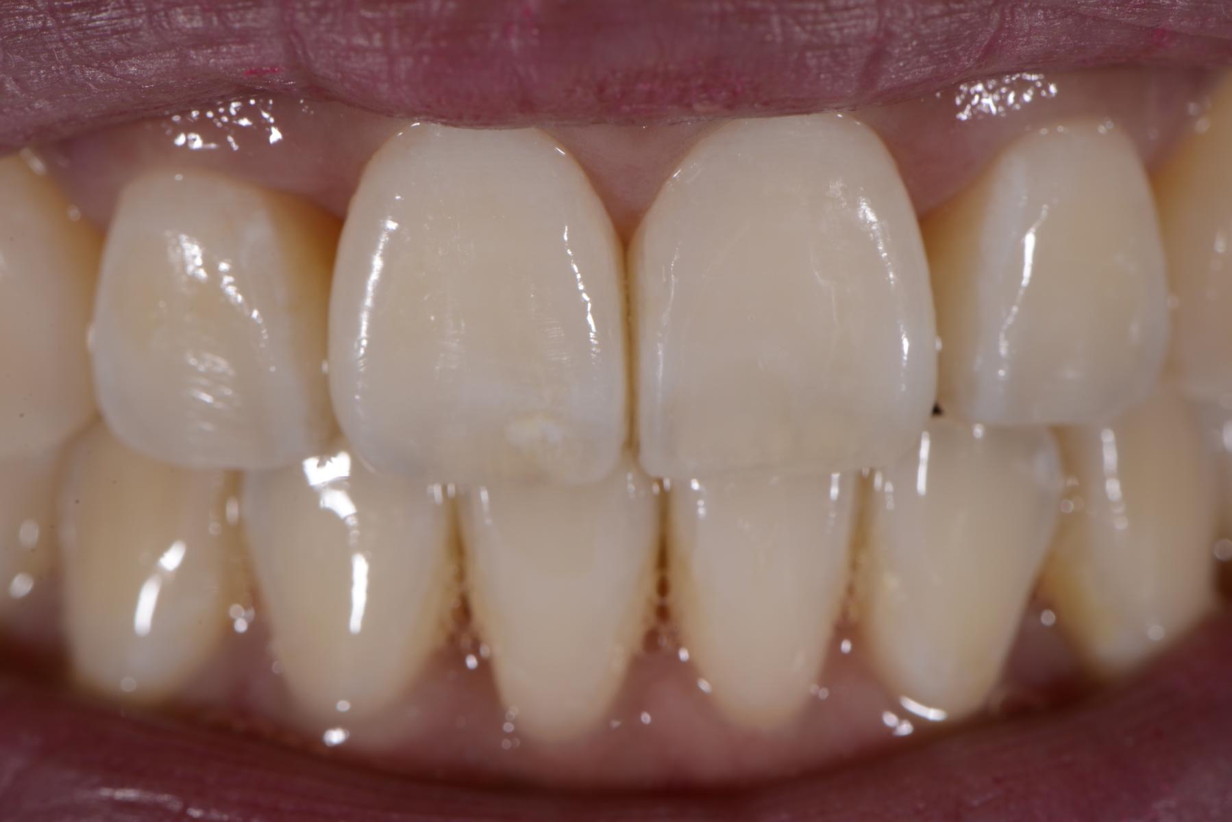
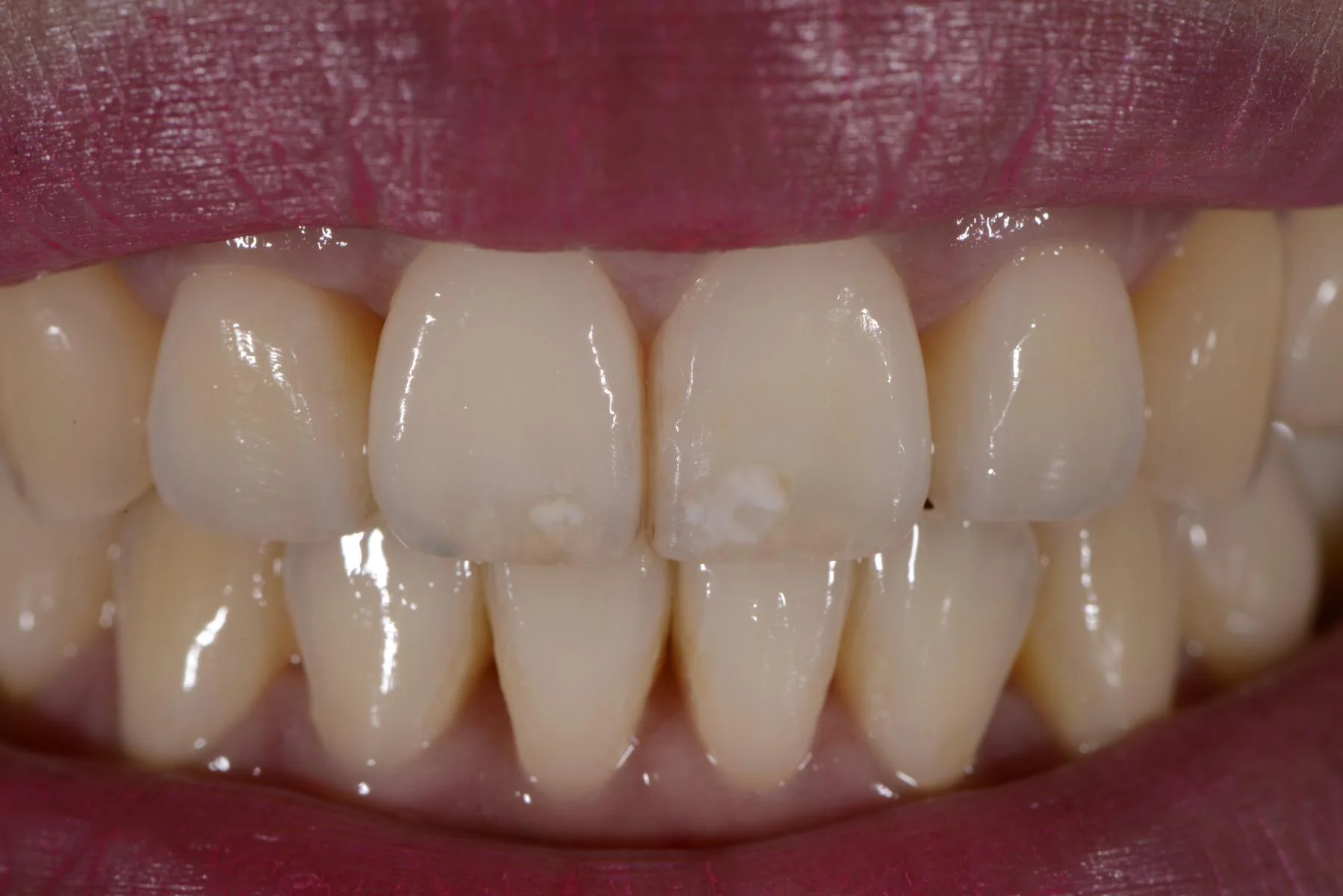
Many patients present with worn teeth due to heavy grinding, a lack of biting teeth, or parafunctional (grinding) habits. Often the most appropriate way of treating these worn teeth is with the use of direct restorative materials, including composite resin (a tooth-coloured material) or amalgam (silver metal material). The use of these direct restorative materials is most appropriate in cases where crowns may be considered too invasive or unnecessary.
